Free Shipping On Orders Over $100!
Discover how prolotherapy stimulates your body’s natural healing process to restore strength, reduce pain, and improve mobility.
Do you have lower back pain or neck pain and have been told that your pain is due to a herniated disk? Have you also been told that surgery is the only option for treating your pain?
We have news for you … There is another potential option that you may not have heard of before! In many cases, prolotherapy can improve function and decrease back pain associated with herniated disk disease and other chronic pain conditions. Our functional medicine doctor, Chad Edwards, is a certified prolotherapist with years of experience helping patients find long-term relief from their back, neck, and joint pain!
To understand how prolotherapy can help, first, you must understand the problem itself. The spinal column is composed of 7 cervical vertebrae, 12 thoracic vertebrae, 5 lumbar vertebrae, 5 sacral vertebrae (fused), and the coccyx. A bony joint called the facet connects one vertebra to the one below, and there are 2 facets per segment. These joints are held together by ligaments that form the joint capsule. In between these vertebral segments is an inter-vertebral disk. The disk serves as a shock absorber and cushion, composed of a tough outer shell made of collagen called the annulus fibrosis and a jelly-filled center called the nucleus pulposus. This structure is perfectly designed to provide structure, function, and flexibility to the human form. It is incredibly strong and allows flexion, extension, side-bending, and rotation.
The weakest spot of the disk is the backside. The posterior longitudinal ligament covers much of the back portion of the disk, leaving the back corners the most vulnerable. This is exactly where disk herniation generally occurs. Additionally, the spinal nerves leave the spinal canal through the intervertebral foramen. The weak spot of the disk generally corresponds to the area where this nerve exits the foramen and can compress it, resulting in radiculopathy. Traditional treatment for herniated disks eliminates the radiculopathy by surgically repairing the disk and decompressing the nerve. One source states that the surgery SHOULD be 95% effective in eliminating the radiculopathy. However, they also state that 10% of patients will have a recurrence in the same area and require repeat surgery. They recommend a spinal fusion if this occurs repetitively.
There are a few issues with the surgical approach to herniated disks. First, not all “pain going down my leg” is due to a herniated disk, even if you find a herniated disk on an MRI. Several studies have been performed that raise questions on whether or not we can accurately attribute an abnormal finding on MRI to the cause of the symptoms. Back pain should be evaluated by a trained prolotherapist before any surgery is considered, (unless it is a true emergency) because there are other potential causes for pain going down the leg besides herniated disks. Next, we need to evaluate the actual cause of the herniated disk. Have you ever wondered WHY these things occur in the first place? Here at Revolution Health & Wellness, we don’t believe they just happen. Here’s how we believe these things get started:
Step 1: There is damage to the ligaments that form the facet joint capsule, allowing excess movement and flexion.
Step 2: Excess flexion causes increased stress on the disk but also increases the stress exponentially on the anterior column (the front edge of the disk) and forces pressure posteriorly along the weakest area of the disk, resulting in disk herniation.
Our holistic approach to disk herniation is a non-invasive alternative. We can help this problem with prolotherapy on the spinal facets, which will tighten up these joints, restore proper spinal function, and provide an environment for the disk to heal itself.
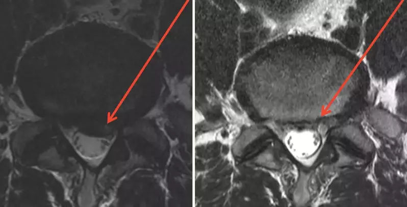
Here is an example – The patient was a 53-year-old active duty Marine Corps Master Gunnery Sergeant with a history of repetitive low back pain after a sports injury 10 years prior. He was told that he had a disk rupture with stenosis, and surgery was recommended. He underwent 1 year of physical therapy and other conservative therapies and had no improvement. His left leg started hurting, and he stated that his pain was getting worse and that it hurt to sit and lie down. An MRI was obtained and is shown below:
June 14, 2010 – The patient received his first prolotherapy procedure with a standard proliferant solution.
July 30, 2010 – The patient stated that he has no back pain but does have some left buttock and radiating pain to the top side of his foot from 1 week prior. He received a second round of prolotherapy with dextrose, and we added PRP at this time.
August 27 & October 2, 2010 – The patient received his third and fourth prolotherapy & PRP procedures. He has no back pain with only mild pain on the dorsum of his foot. He stated that he is more than 90% improved at this point.
November 13, 2010 – He stated he has almost no pain and received his fifth prolotherapy procedure.
April 8, 2010 – He returned to the Army Hospital and saw his orthopedic surgeon who told him “you can’t cure ruptured disks and spinal stenosis with an injection” and that this was “nonsense!” The surgeon wanted to “prove this nonsense” with a follow-up MRI.
The comparison of the before and after MRIs are shown below. The herniation is depicted by the arrows.
The surgeon was surprised by this MRI finding and had to admit the success. The patient stated that he had no problems with tough military training. This case underscores the potential benefit of prolotherapy with a specific injury.
Consider the cost of surgery: time off from work, family, exercise limitations, physical therapy, medications, and potential risks and complications.
Now consider the cost of prolotherapy: no time off of work, limited recovery needed, no medications (generally), and very low risks.
The choice is clear. We have tremendous success with treating lower back pain with prolotherapy at our Tulsa functional medicine clinic and would love to help you with your pain!
